Endodontie à Strasbourg – Traitement de canal
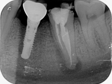
Ces cas cliniques illustrent des traitements réalisés en endodontie à Strasbourg, discipline dentaire spécialisée dans le traitement des infections de la pulpe dentaire et des dents dévitalisées.
L’objectif du traitement endodontique est de conserver la dent naturelle, d’éliminer l’infection et de rétablir une fonction masticatoire durable, tout en assurant un résultat esthétique satisfaisant.
Chaque traitement de canal est réalisé avec précision, dans le respect des protocoles modernes, afin d’offrir aux patients de Strasbourg et ses environs une prise en charge fiable, confortable et durable.
Cas clinique n°1 - Avant / Après
Cas clinique n°2 - Avant / Après



